Arc Of Smile Meaning

The Well Detailed Smile Smile Arc Advances In Orthodontics

A When Arch Form Is Narrow Transverse Smile Dimension Might Be Download Scientific Diagram

Anatomy Of The Ageing Lip The Pmfa Journal

Idrissa Snider The Meaning Of Pro Life Al Com

Smile One Piece Wiki Fandom

Bracket Positioning For Smile Arc Protection Jco Online Journal Of Clinical Orthodontics

Q Tbn 3aand9gcrhr1qbeyxitxmwzvjl6dxyya2gxbr4q47gyd4kwpygl0ybnbpk Usqp Cau

What Is Arc Pair Grammar What Does Arc Pair Grammar Mean Arc Pair Grammar Meaning Youtube

The Well Detailed Smile Smile Arc Advances In Orthodontics

Pdf Dynamic Smile Analysis Changes With Age

The Smile Line And Its Importance In Treatment Planning
.jpg)
Blog
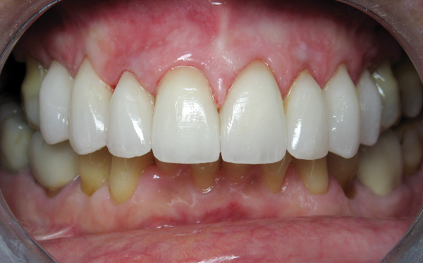
The Smile Makeover How To Achieve The Illusion Of Perfection Inside Dentistry

The Smile Line And Its Importance In Treatment Planning

List Of Yu Gi Oh Arc V Characters Wikipedia

Bracket Positioning For Smile Arc Protection Jco Online Journal Of Clinical Orthodontics

Smile Analysis In Orthodontics

Overview The Eight Components Of A Balanced Smile Jco Online Journal Of Clinical Orthodontics
1

Clear Invisible Metal Braces For Straight Teeth Damon Braces

A Complete Guide To Every Character In The Wano Arc The Library Of Ohara

Anatomy Of A Smile Smile Esthetics 101
Slack Emojis Our Team S Secret To Effective Remote Collaboration Arc Blog

Smile Science The Anatomy Of A Smile Portland Monthly

The Arc Of New Jersey Developmental Disabilities Services Support

A New Path To Your Success Via Human Data Science Iqvia

How To Create Captivating Character Arcs In Your Screenplay Free Infographic

Smile Analysis In Orthodontics

A When Arch Form Is Narrow Transverse Smile Dimension Might Be Download Scientific Diagram

Clear Invisible Metal Braces For Straight Teeth Damon Braces

A When Arch Form Is Narrow Transverse Smile Dimension Might Be Download Scientific Diagram

Bracket Positioning For Smile Arc Protection Jco Online Journal Of Clinical Orthodontics

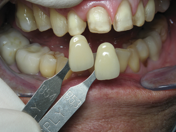
Tooth Whitening Wikipedia

Q Tbn 3aand9gcr5hp9yaa2xl7sa70lhujvoxyy S2etcgsnow Usqp Cau

Bracket Positioning For Smile Arc Protection Jco Online Journal Of Clinical Orthodontics

A Complete Guide To Every Character In The Wano Arc The Library Of Ohara

The Arc Of Essex County
.png)
Services For Developmental Disabilities The Adirondack Arc Tupper Lake Ny

Sushant Singh Rajput Shares Heartfelt Post Remembering Late Mother Rhea Chakraborty Sends Love Celebrities News India Tv

Pdf Dynamic Smile Analysis Changes With Age

The Well Detailed Smile Smile Arc Advances In Orthodontics

Lunate Dislocation Core Em

Reflex Arc Definition Components Functions Video Lesson Transcript Study Com

Rey S Role In The War Kylo Ren S Redemption Arc And How It Effects Their Relationship Last Jedi Star Wars

A Complete Guide To Every Character In The Wano Arc The Library Of Ohara

Clear Invisible Metal Braces For Straight Teeth Damon Braces

Muscle Stretch Reflex Reflex Arc Components Monosynpatic Stretch Reflex Teachmephysiology

The Well Detailed Smile Smile Arc Advances In Orthodontics

The Well Detailed Smile Smile Arc Advances In Orthodontics

Pdf Dynamic Smile Visualization And Quantification Part 1 Evolution Of The Concept And Dynamic Records For Smile Capture

Omg This Is So Dumb Haha Tumblr

Smile Analysis In Orthodontics
Q Tbn 3aand9gcrvuwoxsr4lgzhytrk3i8eq7snghkwaoordi4a6f5za78f29xrw Usqp Cau
2

The Well Detailed Smile Smile Arc Advances In Orthodontics
The Arc Of Frederick County Home Facebook

A When Arch Form Is Narrow Transverse Smile Dimension Might Be Download Scientific Diagram

Gingival Zenith As A Reference For Bonding Braces Insight Medical Publishing

Loguetown Arc One Piece Wiki Fandom

Overview The Eight Components Of A Balanced Smile Jco Online Journal Of Clinical Orthodontics

Central Angle Wikipedia

Smile Analysis In Orthodontics

Saphron Cotta Arc Rwby Wiki Fandom

Pdf Dynamic Smile Visualization And Quantification Part 1 Evolution Of The Concept And Dynamic Records For Smile Capture

Clear Invisible Metal Braces For Straight Teeth Damon Braces
The Arc Of Spokane

Can Higher Bracket Placement Create Better Smile Arc

Pdf Dynamic Smile Analysis Changes With Age

The Smile Line And Its Importance In Treatment Planning

Stearc Click Baby Names

A When Arch Form Is Narrow Transverse Smile Dimension Might Be Download Scientific Diagram

The Smile Line And Its Importance In Treatment Planning

Smile In Orthodontics

The Smile Line And Its Importance In Treatment Planning

Sci Arc Making Meaning Invites Students From Around The Globe To Discover Design

Smile Analysis In Orthodontics

The Devolution Of Man The Boston Globe
The Smile Makeover How To Achieve The Illusion Of Perfection Inside Dentistry

Bracket Positioning For Smile Arc Protection Jco Online Journal Of Clinical Orthodontics

Pdf Dynamic Smile Visualization And Quantification Part 1 Evolution Of The Concept And Dynamic Records For Smile Capture

A When Arch Form Is Narrow Transverse Smile Dimension Might Be Download Scientific Diagram

How To Whiten Teeth Other Frequently Asked Questions Arc

Pin On Jokes On You
Iocsxlznjqvk4m

Grammar School Double Fun And Meaning With This The Virginian Pilot The Virginian Pilot

The Dictionary Of Needlework An Encyclopaedia Of Artistic Plain And Fancy Needlework Dealing Fully With The Details Of All The Stitches Employed The Method Of Working The Materials Used The Meaning

Clear Correct Vs Invisalign Which Is The Better Option 9 Nyc Dental

Close Up By Stephen Huljak On Vimity Com Rainbow Lips Lip Art Lip Art Makeup

A New Path To Your Success Via Human Data Science Iqvia
Q Tbn 3aand9gcqxywyhy6t7ox3u Zx91agszhhr9l34lp6xghp5 Rwrjvqbsyg9 Usqp Cau

Pdf Dynamic Smile Visualization And Quantification Part 1 Evolution Of The Concept And Dynamic Records For Smile Capture

Smile Analysis In Orthodontics

Smile Analysis In Orthodontics

A When Arch Form Is Narrow Transverse Smile Dimension Might Be Download Scientific Diagram
Sushant Singh Rajput Shares A Heartfelt Note In Memory Of His Mother Rumoured Girlfriend Rhea Chakraborty Reacts Hindi Movie News Times Of India

Blurred Past Evaporating From Teardrops Sushant Singh Rajput S Last Post On His Mother Odisha Bytes

The Well Detailed Smile Smile Arc Advances In Orthodontics
Http Www Cse Uaa Alaska Edu Afkjm Csce1 Fall18 Handouts Graphicsintro Pdf

Smile In Orthodontics

Grit And Roses Stories Babb Eugene M Amazon Com Books

Bracket Positioning For Smile Arc Protection Jco Online Journal Of Clinical Orthodontics

Smile Analysis In Orthodontics
The Smile Makeover How To Achieve The Illusion Of Perfection Inside Dentistry

West La Braces What Makes A Nice Smile Jonathan Shouhed Dds Orthodontist